百姓聚焦
【肺癌诊疗先锋】第二十一期:一位公园管理员的九年呼吸之战
赵先生,58岁,一个普通的公园管理员,每日与绿树清风为伴。2016年起,他开始出现咳嗽、咳痰症状,起初并未在意。2017年11月,他的咳嗽症状加重,并伴发胸闷气短,但他仍未就诊,直至2018年6月,胸闷气短明显加重,他才去医院检查胸部CT,发现双肺弥漫分布的结节影,一度被怀疑为“肺结核”,然而,真相在北京胸科医院结核科得以揭晓——痰涂片中查见腺癌细胞,最终确诊为左肺下叶腺癌,伴随双肺转移、纵隔淋巴结转移,临床分期为IV期(最晚期肺癌)。
从“结核”疑云
到肺癌真相
赵先生并无吸烟史,却有肺癌家族史(父亲患肺癌),这提示了遗传背景在肺癌发生中的潜在影响。2018年6月,他在外院的胸部CT提示双肺弥漫结节影,左肺斑片状实变影伴磨玻璃影,初步诊断考虑为“肺结核可能”。转至北京胸科医院结核科后,痰涂片中发现腺癌细胞,结核病相关检查均为阴性,2018年8月最终明确诊断为肺腺癌IV期。基因检测结果显示EGFR基因突变(为比较复杂的复合突变19-Del/T790M/20-Ins),这为后续靶向治疗提供了关键依据,也为患者带来了极大的希望。
个体化治疗的精准接力

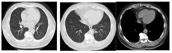
治疗前(2018年6月)

治疗7年(2025年6月)
初战告捷(2018.09-2022.01)
赵先生于2018年9月开始接受奥希替尼靶向治疗,肺部病灶明显缩小,最佳疗效达到部分缓解(PR),病情稳定长达40个月。期间他继续担任公园管理员,生活质量显著改善。
耐药与转型(2022.01至今)
2022年1月,复查胸部CT发现肺内新发转移灶,评估为疾病进展(PD),无进展生存期(PFS)为40个月。肺部新出现转移病灶位置难以进行肺穿刺活检,治疗团队迅速调整策略,在奥希替尼基础上联合化疗6周期(培美曲塞 + 卡铂),疗效评估为疾病部分缓解(PR),目前仍在奥希替尼持续治疗中,截至目前第2阶段持续稳定47个月,全程稳定87个月,已经超过7年3个月。
复合突变下的
治疗策略与希望
赵先生所携带的EGFR 19-Del/T790M/20Ins复合突变较为罕见,对靶向治疗提出了很高挑战。奥希替尼一线治疗带来长达40个月的缓解,体现了三代TKI在复杂突变人群中的价值。后续联合化疗的方案,也为耐药后治疗提供了新思路。赵先生的治疗历程体现了精准医疗的持续进化——从单药靶向到联合治疗,我们正在一步步延长患者的生存时间,提升患者的生活质量。”
在呼吸之间
见证医学的温度
赵先生的故事,是无数非吸烟肺癌患者的缩影。他的诊断经历提醒我们:肺癌不一定与吸烟直接相关,家族史与基因突变同样是关键因素。而他的治疗历程,则展现了基因检测指导下的精准治疗如何将晚期肺癌转变为一种像高血压、糖尿病一样的可管理的慢性病,从而实现临床治愈。
每一次咳嗽的背后,都可能藏着未被察觉的生命信号;每一次治疗的调整,都是医患携手、与时间谈判的见证。我们相信,随着医学的进步,更多像赵先生这样的患者将在精准医疗的护航下,疾病长期可控,走得更远、更稳。


