科普文章
【胸科医声·王冲】恶性特征再明显,也有看走眼的时候
30多岁年轻患者,2026年2月CT检查发现:
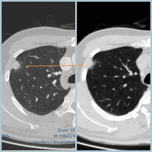
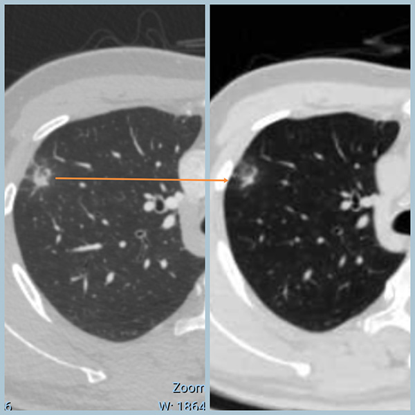
“右肺上叶前段实性结节,大小1.6cm,有分叶,边缘有短毛刺,邻近胸膜有牵拉、增厚,内部可见空泡。增强轻度强化,恶性可能大。建议穿刺活检。”

实性、分叶、毛刺、胸膜牵拉、空泡,这些组合在一起是典型恶性特征。
但当地医生并未直接手术或穿刺,而是进行了莫西沙星抗感染治疗。
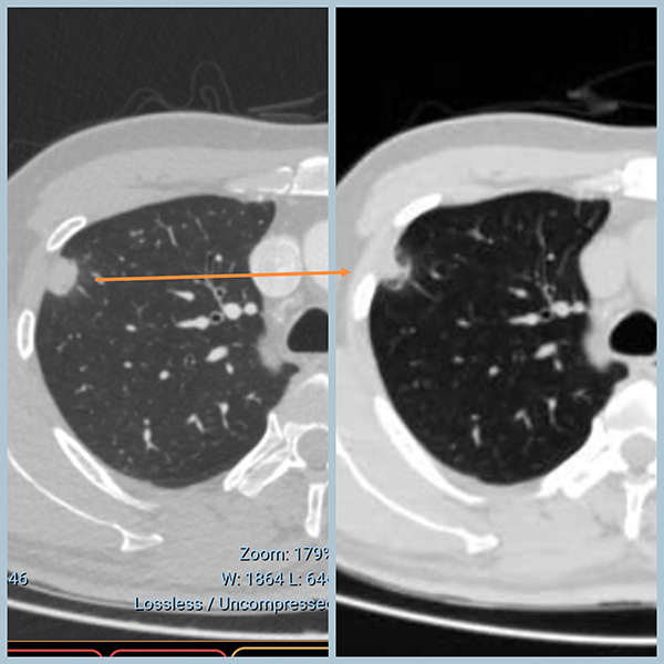
一个月后复查:病灶明显吸收、变小!不是恶性!



患者问我的时候,先拿出来的是最近的CT(消炎后的)
最近的CT因病变已经缩小、吸收,恶性特征不明显了
我追问他是否做的抗感染治疗
他把第一次的CT发了过来
两次CT对比,变化(缩小吸收)一目了然!
这个时候,即使是医学生也知道不可能是恶性的了。
【我想说】
1、庆幸自己有追问最早片子的习惯。不管患者出于何种原因没有同时拿出两次CT,单看后一次CT,确实也像炎症,但没有前面的对比,印象不会这么深刻。
2、感叹给出抗感染建议的医生水平之高。他可能基于患者的年龄,肺门多发的钙化淋巴结,肺上其它钙化点等考虑有炎症可能。但是如果我是初诊医生,看到这个病变(消炎前)可能还是首先考虑恶性,基于30多岁的年纪,我可能会让患者做PET或穿刺明确诊断。
3、CT上病变再典型,恶性特征再多,也有看走眼的时候。良恶性病变CT表现并不是泾渭分明,它们是有交叉的。
4、对于年轻的患者,首次发现肺结节,可以给自己一个消炎的机会,也许自己就是幸运之子。


