科普文章
【肺癌诊疗先锋:北京胸科医院每周经典病例展示】第七期:以仁心为港,用科技扬帆——一位晚期肺癌患者的生命奇迹
老胡上次来医院复查时,陪着他一起来的儿子问我:“仝大夫,您对我父亲特别认真负责,有耐心,一直很想感谢您,我和家里人商量,想着送给您一面锦旗,不知道会不会给您造成什么麻烦?”我答复他:“您父亲病情稳定就是我最大的欣慰,就不必破费制作锦旗了。”时隔3月,这次老人过来全面复查,专门带着老伴一起过来,让他儿子把一面锦旗送到了医生办公室。
生命至暗时刻
记忆回到了5年前,当时老胡因为左侧胸闷、胸痛第一次在北京胸科医院肿瘤一科住院,胸部CT发现左肺上叶肿块影,肺门及纵隔多发肿大淋巴结,这些都是肺癌典型的影像学表现。我们尽快为老人安排了支气管镜检查,然而活检结果因肿瘤成分极少,不能明确肺癌病理类型,也就无法进行下一步治疗。入院查体过程中发现左侧锁骨上淋巴结肿大,我们立即请胸外科会诊,进行了锁骨上淋巴结活检术,进一步完善检查,还发现了锁骨上淋巴结转移、骨转移、多发脑转移和胸腔、心包积液。老人的肿瘤负荷非常大,病情危重,因此我们向老人的儿子详细交代了老人的肺癌病情和危重情况,并发了危重病通知书。然而就在等待淋巴结活检病理结果的过程中,老人开始出现了头晕、恶心、呕吐、不能进食等典型的脑转移症状,就连生活自理也遇到了困难。老人感觉到了自己的病情严重,让儿子告诉我们想出院回家,放弃治疗的想法。
请给我一次机会
也给生命一次机会
在了解情况后我们马上安排了和老人儿子的谈话:可以先做脑放疗,缓解脑转移症状,同时等待淋巴结活检病理结果和基因检测结果,然后进行下一步全身系统性治疗。但老人和他的儿子都还是想放弃,主要顾虑是怕病情进一步加重,回不到河北老家,而且家里经济情况也不好,担心医疗费用给家庭造成经济负担。我们再次和老人的儿子进行了长谈,告诉他脑放疗非常有望改善脑转移症状,在改善患者的生存质量同时也能给全身治疗争取时间和机会,而且放疗费用是可以医保报销的。
多学科协作的力量
老人儿子通过第二次谈话,更加明白了老人肺癌病情和治疗的情况,决定试一试放疗,谈话后我们第一时间请放疗科专家会诊,进行放疗定位,立即开始全脑放疗,同时脱水降颅压治疗,全科室医护团队都对老人关怀备至,在日常生活中无微不至地关心和照顾老人,给他加油、鼓劲。开始放疗后,老人的恶心、呕吐症状逐渐有了改善,3天后锁骨上淋巴结活检病理明确为肺腺癌转移,同时基因检测结果也带来了好消息,提示老人有EGFR基因突变,这也是亚洲肺癌患者中最常见的一种基因突变,口服靶向药物是携带EGFR基因突变的晚期肺癌患者的标准治疗,这种药物有效率高达70%以上,而且治疗方便、不良反应低,将这类肺癌患者带入了慢病化的时代。经过了脑放疗和口服靶向药物治疗,老胡的病情明显改善,头晕、恶心、呕吐等脑转移症状消失,胸闷胸痛的症状也完全缓解。

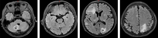
治疗前(2020年6月)

治疗5年(2025年6月)

治疗前(2020年6月)

治疗5年(2025年6月)
从“治愈疾病”
到“治愈心灵”
出院回家后,老胡继续每天口服靶向药物,还重新回到了他熟悉、亲切的田地果园。秋天来医院复查时,他会把自己种的雪花梨和葡萄带给大家品尝。现在每次见到老人时,他都精神矍铄、健步如飞、皮肤黝黑,完全看不出曾经是位肺癌晚期患者。老人和他儿子也反复感谢当时我们的坚持、努力和帮助。老人经常给病友讲自己的故事,当病友在检查和治疗中有困惑时,他都主动帮助解答。现在我们之间仍是医患关系,但更有一层朋友间的情谊和信任。
给患者开出的
第一张处方是关爱
像老胡这样的故事在北京胸科医院肿瘤中心还有很多很多。健康所系,性命相托,医生就是要保护每个人的健康和生命。医生给患者开出的第一张处方是关爱,而这张处方也贯穿整个诊断治疗过程,一直陪伴患者走向健康。
本篇作者

仝丽,擅长肺癌及其他胸部恶性肿瘤的诊断、鉴别诊断、综合治疗及个体化治疗。肺癌早筛早诊。肺癌相关临床研究。难治性肺癌患者治疗的探索性创新治疗模式。
出诊时间:
肺癌早筛早诊门诊、肿瘤门诊:周三下午。
互联网复诊:周一至周五下午;周六、周日上午。



